
Background: Systemic lupus erythematosus (SLE) is a chronic autoimmune disorder, characterized by a remarkable heterogeneity of clinical presentations. Glomerulonephritis (GN) remains a leading cause of morbidity and mortality in SLE, influencing long-term prognosis. The alteration of both innate and adaptive immune responses plays a pivotal role in SLE pathophysiology [1]. B lymphocytes are mainly involved in SLE through the production of autoantibodies but recent evidence suggests an effector role of these cells in cytokine production. IL-40 is a recently discovered cytokine, produced by B cells and involved in their homeostasis, that may participate in the pathogenesis of B-mediated autoimmune diseases, such as SLE [2].
Objectives: The purpose of this study was to evaluate the role of IL-40 in the pathogenesis of SLE, with a specific focus on renal involvement.
Methods: Peripheral blood and urine samples were collected from 10 consecutive SLE patients and 10 healthy controls; kidney biopsy specimens were obtained from 3 SLE patients and 3 controls. The concentration of IL-40 in serum and urine samples was evaluated by ELISA. IL-40 production by monocytes, B cells and T cells was assessed by flow cytometry at day 0 and after in vitro stimulation. Immunohistochemistry on kidney tissue was also performed to evaluate IL-40 expression.
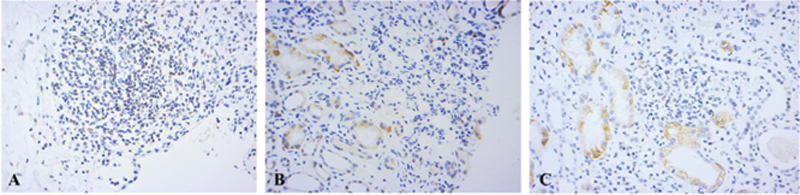
Results: IL-40 levels were reduced in the serum of patients with active GN. This reduction was further observed in the serum of patients with previous GN. In the serum of active SLE patients, without renal involvement, the concentration of IL-40 did not change significantly compared to controls. Urinary levels of IL-40 showed no significant changes compared to controls. Consistently, immunohistochemistry on kidney showed the expression of IL-40 only in SLE patients (
IL-40 overexpression in lupus nephritis at tissue level . Kidney biopsies stained for IL-40 in controls ( A ), Class III lupus nephritis ( B ) and Class V lupus nephritis ( C ) showed intense IL-40 positivity in lupus nephritis ( B, C ) compared to controls ( A ).
Conclusion: To the best of our knowledge this is the first demonstration of IL-40 expression at kidney level in SLE associated nephritis. These preliminary data suggest an active role of IL-40 in SLE, with specific focus on active kidney disease. Our results highlight a potential use of IL-40 as a marker of active GN, although its specific mechanism of action needs to be further elucidated.
REFERENCES:
[1]Tsokos GC, Lo MS, Costa Reis P, Sullivan KE. New insights into the immunopathogenesis of systemic lupus erythematosus. Nat Rev Rheumatol. 2016;12(12):716-730.
[2]Catalan-Dibene J, Vazquez MI, Luu VP, Nuccio SP, Karimzadeh A, Kastenschmidt JM, et al. Identification of IL-40, a Novel B Cell-Associated Cytokine. J Immunol. 2017;199(9):3326-35.
Disclosure of Interests: Chiara Rizzo: None declared, Lidia La Barbera: None declared, Marianna Lo Pizzo: None declared, Leila Mohammadnezhad: None declared, Vincenzo Luca Lentini: None declared, DENISE DONZELLA: None declared, Francesco Ciccia Speakers bureau: lilly, pfizer, novartis, celgene, abbvie, roche, janssen, UCB, SERENA FASANO: None declared, Giuliana Guggino Speakers bureau: pfizer, novartis, celgene, abbvie, roche, lilly, janssen, UCB